BubbleLife Sites - https://sites.bubblelife.com
The Pros and Cons of Non-Prep Veneers: Are They Worth It?

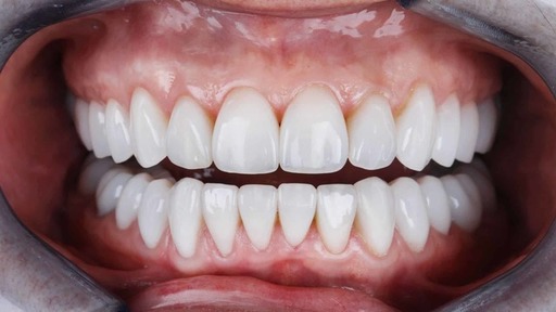
Non-prep veneers have become a popular choice in cosmetic dentistry, offering a solution to transform your smile without the need for significant tooth alteration. As a minimal-invasive option, they promise to fix imperfections like chips, gaps, and discoloration. However, like any dental procedure, they come with their own set of pros and cons. In this article, we will explore the benefits and limitations of non-prep veneers in Dubai to help you decide if they’re worth it for your smile.

1. What Are Non-Prep Veneers?:

Non-prep veneers are thin shells made of dental material that are bonded to the front of your teeth to improve their appearance. Unlike traditional veneers, they require little to no alteration of the natural tooth structure, preserving your tooth enamel. Non-prep veneers offer a fast and convenient way to achieve a brighter, more uniform smile with minimal discomfort.

Why Choose Non-Prep Veneers:

  • Non-invasive procedure: No drilling or removal of tooth enamel.
  • Quick results: Often applied in a single visit.
  • Preserves tooth structure: Maintains the integrity of natural teeth.

2. Pros of Non-Prep Veneers:

Non-prep veneers offer a wide range of benefits, especially for those seeking cosmetic improvements without undergoing complex treatments. Let’s take a closer look at the advantages of choosing this solution.

a) Minimal Tooth Alteration:

One of the biggest selling points of non-prep veneers is that they don’t require any significant alteration to your natural teeth. Unlike traditional veneers, which often involve shaving off a layer of enamel, non-prep veneers can be placed directly over your existing teeth without causing any long-term damage.

b) Quick and Convenient:

The procedure to place non-prep veneers is usually completed in just one or two visits to the dentist. Since there is no need for extensive preparation or tooth reduction, the process is faster than traditional options.

c) Preserved Tooth Enamel:

Since no enamel is removed during the placement of non-prep veneers, the natural structure and health of your teeth are preserved. This helps to avoid complications related to tooth sensitivity or the need for future dental treatments.

d) No Need for Drilling:

Traditional veneers require drilling and shaving of the tooth, which can cause discomfort and potential risks to the tooth’s structure. Non-prep veneers eliminate this step, making them a more comfortable option for those seeking a pain-free solution.

e) Aesthetic Results:

Non-prep veneers are custom-designed to fit seamlessly over your natural teeth. They can improve the overall appearance of your smile, including fixing minor imperfections such as stains, chips, or uneven teeth.

f) Reversible Procedure:

In some cases, non-prep veneers can be removed if necessary, allowing for a reversible cosmetic dental treatment. This provides added flexibility compared to more permanent dental options.

3. Cons of Non-Prep Veneers:

While non-prep veneers offer several advantages, they also come with some limitations that should be considered before making a decision. Below are a few potential downsides to be aware of.

a) Limited Durability:

Non-prep veneers are thinner than traditional veneers, which can sometimes make them less durable over time. Although they are made from strong materials, they may be more prone to chipping or cracking compared to thicker alternatives.

b) Not Suitable for Severe Dental Issues:

If your teeth have significant structural issues such as deep decay, large cavities, or severe misalignment, non-prep veneers may not be an appropriate solution. In such cases, other treatments like crowns, traditional veneers, or orthodontics may be necessary.

c) Less Customization for Extreme Cases:

While non-prep veneers are effective for minor imperfections, they may not provide the same level of customization as traditional veneers in more complex cases. For example, if you need extensive reshaping of your teeth, traditional veneers may offer better results.

d) Not Ideal for Large Gaps:

Non-prep veneers work well for small to medium-sized gaps, but they may not be the best option for large gaps between teeth. In such cases, orthodontic treatments like braces or clear aligners may be required to achieve a more permanent solution.

e) Potential for Staining Over Time:

Although non-prep veneers are designed to resist stains, they may still discolor over time, especially if exposed to certain foods or beverages like coffee, wine, or tobacco. Regular maintenance is required to keep them looking bright.

f) Temporary Fit:

In some cases, non-prep veneers may not bond as securely to the tooth as traditional veneers. While this is rare, it can sometimes result in the veneers loosening or needing adjustment.

4. Are Non-Prep Veneers Right for You?:

When considering non-prep veneers, it’s important to determine if this cosmetic dental treatment aligns with your needs and goals. These veneers are ideal for individuals looking to improve the appearance of their teeth without significant alterations or discomfort.

Ideal Candidates for Non-Prep Veneers:

  • Those with minor imperfections: Ideal for fixing small chips, gaps, or stains.
  • People seeking a quick smile transformation: Non-prep veneers offer fast results for a cosmetic makeover.
  • Those with healthy teeth: Non-prep veneers work best for individuals with healthy teeth and gums, free of decay or severe misalignment.

Not Ideal for:

  • Those with major dental issues: If you have significant tooth damage, decay, or misalignment, non-prep veneers may not be the right solution.
  • People who want a permanent, highly customizable solution: If you need extensive reshaping, traditional veneers may provide more customized results.

5. How Much Do Non-Prep Veneers Cost?:

The cost of non-prep veneers can vary depending on factors such as the location of your dentist, the complexity of your treatment, and the number of veneers needed. On average, non-prep veneers tend to be more affordable than traditional veneers because the procedure is less invasive and requires fewer materials.

Factors Affecting the Cost:

  • Number of veneers: The more veneers you need, the higher the cost will be.
  • Dentist’s experience: Highly skilled and experienced cosmetic dentists may charge more for their services.
  • Location: The cost of dental procedures can vary by location, with treatments in larger cities generally being more expensive.

Typical Cost Range:

  • Non-prep veneers usually range from $500 to $2,000 per tooth. However, costs can differ depending on your specific needs and location.

6. Conclusion: Are Non-Prep Veneers Worth It?:

Non-prep veneers offer an innovative, minimally invasive solution for individuals looking to improve their smile. They come with several advantages, such as quick treatment time, minimal discomfort, and no need for tooth alteration. However, they also have limitations, including reduced durability and potential staining over time.

If you have minor cosmetic imperfections and are looking for a quick, affordable smile makeover, non-prep veneers may be the right choice for you. It’s important to consult with a skilled cosmetic dentist to determine if this treatment aligns with your dental goals and to understand whether non-prep veneers will give you the best results for your specific case.

The Pros and Cons of Non-Prep Veneers Are They Wor
Monday, 20 January 2025